《神经元》发表中科院神经所关于热痛机理的研究成果
文章来源: | 发布时间:2017-02-09 | 【打印】 【关闭】
2月2日,国际著名学术期刊《Neuron》(《神经元》)在线发表了题为《成纤维细胞生长因子13作用于钠通道1.7调控热痛》的研究论文,该论文随后将以封面论文形式印刷发表。该研究揭示了伤害性热刺激引起疼痛的关键调控机制,由中科院神经科学研究所、脑科学与智能技术卓越创新中心张旭研究组完成。
伤害性刺激温度(过热和过冷)、机械和化学刺激可以引起疼痛和逃避反应,从而保护机体不再受到伤害。不同性质的伤害性刺激通过特定的膜蛋白转换成动作电位信号,这些信号沿着感觉神经传入脊椎至大脑。长期以来,神经科学界广泛认为热痛信号的传导与瞬时受体电位阳离子通道V1(TRPV1)等温度感受器有关,然而实验研究结果表明这些温度感受器只是部分地参与热痛传导,提示可能存在未知的热痛传导和调控机理。本研究发现成纤维细胞生长因子13(FGF13)是热痛的关键调控分子,揭示了FGF13对电压门控钠通道Nav1.7的调控作用是热痛的全新分子细胞生物学机理。
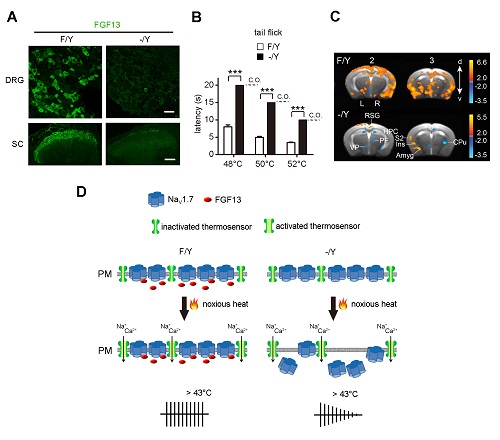
张旭研究组最近应用单细胞转录组和在体电生理记录技术,将背根节躯体感觉神经元分为10种类型,包含6种主要的伤害性机械与热感觉神经元类型(Li et al., Cell Research, 2016)。由此产生了新的科学问题:这些不同类型的伤害性机械与热感觉神经元是否具有相同的热痛调控机制。他们观察到在成年小鼠神经系统中FGF13选择性地在各类伤害性机械与热感觉神经元中高表达(图A),在其他神经组织和神经元中表达水平较低。研究团队制备了在背根节伤害性感觉神经元中特异性地敲除FGF13基因的小鼠,发现这些FGF13缺失小鼠选择性地完全失去对伤害性热刺激(大于43oC)的反应(图B),而对伤害性机械性刺激等感觉保持正常。功能磁共振成像(fMRI)揭示伤害性感觉神经元缺失FGF13导致大脑对伤害性热刺激反应大幅度下降(图C),明确了与热痛感知、记忆和情绪相关的脑区。他们还发现FGF13和Nav1.7相互作用、增加Nav1.7电流。伤害性热刺激增加FGF13与Nav1.7相互作用,从而维持细胞膜上Nav1.7的数量,使神经元在伤害性热刺激下产生持续性动作电位发放,向中枢神经系统传递痛信息(图D)。他们进一步发现FGF13与Nav1.7的结合位点在Nav1.7的羧基端,阻断FGF13与Nav1.7的结合也可以减轻热痛。因此,FGF13可以通过作用于Nav1.7调控热痛。
在这项研究中,张旭研究组发现在伤害性机械与热感觉神经元中表达的FGF13选择性地调控热痛,并且揭示FGF13作用于Nav1.7是热痛传导的关键机制,突破了目前痛觉理论的概念性认识,并且提供了新的镇痛药靶分子。
这项工作是由助理研究员杨柳、博士后董飞和研究团队在张旭研究员指导下完成,中科院上海临床研究中心博士后杨青在陈丽敏和徐富强(中科院武汉物理数学所)研究员指导下完成小鼠脑成像研究,鲍岚研究员(中科院生物化学和细胞生物学研究所)和程晓阳副研究员(上海交通大学医学院)参与指导细胞生物学和电生理研究。本工作得到中科院战略性先导科技专项(B类)、国家自然科学基金和上海市科技专项的资助。
